Adresa : Litovelská 635/25, 050 01 Revúca +421 58 4833 333 nsprevuca@nsprevuca.sk e-Lab

O metóde PRT

Periradikulárna terapia (PRT) je moderná a bezpečná terapeutická metóda liečby bolesti chrbtice, ktorá vyžaruje do dolných končatín (tzv. radikulárny syndróm).

Metóda má nízke riziko komplikácií, pretože využíva počítačovú tomografiu (CT) na navigáciu ihly do presného miesta v blízkosti nervu alebo kĺbneho spojenia stavcov. Úspešnosť liečby dosahuje až 85 – 90 % a efekt pretrváva individuálne 2 až 12 mesiacov.

PRT pod CT kontrolou

Bolesti v chrbtici

Postihujú až 80% populácie aspoň raz za život. Kým 90% sa uzdraví spontánne, zvyšných 10% trpí bolesťami spôsobenými najčastejšie herniou platničky.

CT nález chrbtice
Hlavné indikácie
  • Hernia a protrúzia medzistavcového disku
  • Stenózy (zúženia) spinálneho a koreňového kanála
  • Pooperačná perineurálna fibróza a recidíva hernie
  • Spondylolistéza (posun stavcov)
  • Radikulárny syndróm (vyžarovanie do končatín)

Ako prebieha výkon?

Výkon prebieha pod CT prístrojom, pacient leží v polohe na bruchu. Celý proces je rýchly a dobre znášaný.

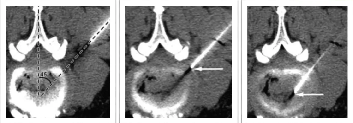
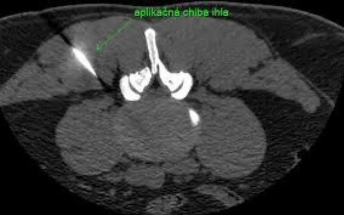
1 Určenie miesta vpichu pomocou CT scanov, dezinfekcia a zavedenie Chiba ihly.
2 Kontrola polohy ihly CT scanmi až k cieľovému koreňu/kĺbu.
3 Aplikácia liečebnej zmesi: 1 ml kontrastnej látky, 4 ml Marcainu (anestetikum) a 1 ml Diprophosu (kortikoid).
4 Prepláchnutie a vytiahnutie ihly. Výkon je ukončený, pacient odchádza domov.
Aplikácia ihly pod CT
Dôležité informácie a príprava pacienta
Pred výkonom
  • Byť nalačno 2 hodiny pred výkonom.
  • Byť vopred vyšetrený odborným lekárom (neurológ, ortopéd) s podkladom CT alebo MR.
  • Prísť na RTG/CT pracovisko nemocnice.
Čo si priniesť a uhradiť?
  • Liek Diprophos od indikujúceho lekára.
  • Poplatok 5 € za Marcain (uhradiť v pokladni na recepcii RDG).
  • Nutný doprovod! Po výkone je prísne zakázané viesť motorové vozidlo.
Nález na CT (Vyklenutie platničky)
Hernia disku na CT
Aplikácia liečba pod CT
Kontrola liečebnej zmesi

Zhodnotenie metódy

85 % úspešnosť v liečbe koreňových syndrómov. Liečba je rýchla, pacientom výborne znášaná a vykonáva sa ambulantne.

Možné komplikácie

Zavádzanie ihly pod CT kontrolou minimalizuje poškodenie nervov. Možná je alergická reakcia alebo v ojedinelých prípadoch dočasné vertigo v prípade aplikácie do epidurálneho plexu.